The first brain images revealed by the most powerful MRI in the world

NEWS

  02/04/2024 | Pascal Lemontel

 

 
Facebook Twitter Mail Imprimer
 

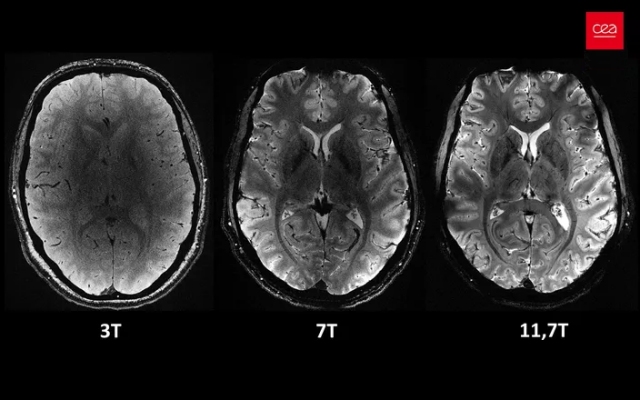
The Iseult MRI scanner, developed in Paris-Saclay by the Atomic Energy Commission (CEA), is the most powerful in the world. Equipped with an unrivaled magnetic field of 11.7 Tesla, it greatly outperforms traditional hospital MRIs (1.5 or 3 Tesla).

The images obtained by Iseult are of exceptional precision, revealing anatomical details unattainable at lower magnetic fields. Healthy volunteers were scanned in this 132-ton magnet, with no adverse effects on their health. This major advance in neuroscience opens new perspectives for research and understanding of neurodegenerative and psychiatric diseases.

However, its high cost (70 million euros) limits its widespread distribution.

  Pascal Lemontel

 WE RECOMMEND YOU

  > No systematic MRI for women taking a contraceptive micropill

  > A baby saved thanks to antenatal therapy

  >

  > Paris hospitals threaten to go on strike from September 10

  > Anxiety disorders: a 10-day mental health retreat in Saujon for busy people!

 










   
 

Medical software hack: sensitive data leak

 NEWS 

 

 27/02/2026

Software widely used by general practitioners has been hacked, resulting in the theft of health data belonging to 15 million French citizens. Attackers exploited a technical vulnerability to access servers ...

   
   

End of life: MPs adopt the right to assisted dying

 NEWS 

 

 26/02/2026

In France, the National Assembly has adopted legislation creating a right to assisted dying, a reform that has been debated for years. The bill was approved by 299 votes to 226 and must now return to the ...

   
   

Asbestos found in Action and Hema toys sold throughout France

 NEWS 

 

 23/02/2026

Hema is recalling several children's toys sold in its stores in France after asbestos was detected in a small tube included in some of its creative kits. The alert was issued by Rappel Conso on Friday, ...

   
   

When and how to undergo a superficial peel

sample74

▶ REPLAY

Available to listen

   
   

 26/02/2026

End of life: MPs adopt the right to assisted dying

In France, the National Assembly has adopted legislation creating a right to assisted dying, a reform that has been debated for years. The bill was approved by 299 votes to

 

 PREVENTION 

  23/02/2026

Kidney disease: Take care of your kidneys!

In France, 1 in 10 people is affected by kidney disease. This scourge continues to increase by about 2% per year. Our kidneys are essential to life. But when they malfunction,

 

 NEWS 

  17/02/2026

A baby saved thanks to antenatal therapy

A fetus with Kasabach-Merritt syndrome, a rare and often fatal vascular tumor, was saved thanks to treatment administered before birth. The condition, detected in the seventh

 

 PREVENTION 

  16/02/2026

Know how to diagnose the symptoms of andropause

It's increasingly discussed in relation to women, but much less so in relation to men. Yet, starting in their forties, fifties, or sixties, some men may experience symptoms

 

 PREVENTION 

  09/02/2026

Mpox (Monkeypox): Launch of the Vaccination Campaign in Réunion

 

 PREVENTION 

  04/02/2026

Vaping: Anses warns about the long-term risks of electronic cigarettes

 

 RESEARCH 

  03/02/2026

Pancreatic cancer: promising breakthrough in the laboratory

 

 NEWS 

  28/01/2026

What is the Nipah virus circulating in India?

 

 SOCIAL 

  26/01/2026

The government wants to ease the use of telemedicine.



   

Contenus sponsorisés


 09/02/2026

Mpox (Monkeypox): Launch of the Vaccination Campaign in Réunion

Following the confirmation on January 22 of the first case of smallpox B in Réunion in a person returning from Madagascar, health authorities are launching a preventive vaccin

 

 PREVENTION 

  04/02/2026

Vaping: Anses warns about the long-term risks of electronic cigarettes

 

 PREVENTION 

  25/09/2025

Indoor fragrances: underestimated health risks!

 

 PREVENTION 

  16/06/2025

Hypoparathyroidism: Breaking the barriers of ignorance!

 

 PREVENTION 

  26/05/2025

Cardiovascular health: Improve prevention!

 

 PREVENTION 

  19/05/2025

Melanoma: Concrete Initiatives in Care

 

 PREVENTION 

  03/03/2025

Meningitis: a large-scale vaccination campaign in the Rennes metropolitan area

 

 PREVENTION 

  04/02/2025

COPD: The importance of early diagnosis!

 

 PREVENTION 

  03/02/2025

Colorectal cancer: The ARC Foundation breaks the taboos!



   


     
     







 
     
     
 
 

NOS RADIOS

 

SERVICES

 

THEMATIQUES

 

OUTILS

 

Radio Public Santé
Public Santé Seniors
Public Santé Détente
Public Santé Loisirs & Sports
Public Santé Famille
Public Santé Sexo
Public Santé Nutri-Conso
Public Health Radio
Bien-être Animal
Replay News
Replay News Eco
Replay News Story

 

Frequencies
Replay
Programs
Find
Contact us
Health news
Webradios
Seasonal Diseases

 

Beauty
Nutrition
Family
Hobbies
Prevention
Psychology
Research
Treatments
Sport
Administrative & social
Litterature
Sexology
Animal health

 

Flux RSS
Facebook
X (Twitter)
Linkedin
Newsletters
Services
Journalists
Technical
Press

 

 
 

Rights of reproduction and distribution reserved © Control Channel 2006-2026
Strictly personal use. The user of the site acknowledges having read the usage rights license,
in accept and respect its provisions.

Mentions légales | Conditions générales d'utilisation | Politique de protection des données personnelles | Politique relative aux cookies